목차
안녕하세요, 헬스 천사입니다.
오늘은 우리의 건강을 지키는 방법에 대해서 이야기해보려고 해요.
최근에 '결핵'이라는 질병에 대한 관심이 높아지고 있는데요, 이에 대해 알아보고 예방하는 방법들을 함께 알아볼까요?
건강은 우리의 가장 소중한 자산이니까요!
1. 결핵이란 무엇인가?

결핵은 폐렴에 해당하는 감염성 질병으로,
결핵균이 주로 호흡기를 통해 전파되는 것으로 알려져 있습니다.
결핵은 주로 폐에 영향을 미치지만, 다른 부위에도 침범할 수 있습니다.
결핵은 전 세계적으로 많은 사람들이 걸리고 있으며, 심각한 건강 문제로 여겨지고 있습니다.
2. 결핵의 주요 증상
결핵의 주요 증상은 여러 가지가 있을 수 있습니다.
일반적으로, 결핵 환자는 기침, 가래, 흉통, 발열, 체중 감소 등의 증상을 보일 수 있습니다.
기침은 특히 중요한 증상으로, 결핵균이 호흡기를 통해 전파되기 때문에 주의해야 합니다.
3. 결핵의 전파경로
결핵은 주로 감염된 사람이 기침이나 재채기를 통해 결핵균을 공기 중에 방출함으로써 전파됩니다.
결핵균은 공기 중에 떠다닐 수 있으며, 다른 사람이 이러한 공기를 마시면 감염될 수 있습니다. 또한, 결핵은 직접적인 접촉을 통해서도 전파될 수 있습니다.
4. 진단 방법

결핵을 진단하는 방법에는 여러 가지가 있습니다.
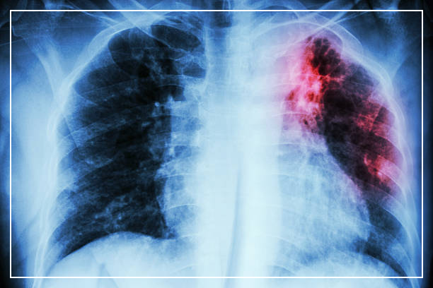
일반적으로, 결핵 검사와 흉부 X선 검사가 사용됩니다.
결핵 검사는 결핵균에 노출되었는지 여부를 확인하기 위해 피나 가래를 조사합니다.
흉부 X선 검사는 폐에 결핵균에 의한 염증이 있는지 여부를 확인하기 위해 촬영을 수행합니다.
결핵 치료법은 시간이 지남에 따라 발전하고 있습니다.
현재, 결핵 치료에는 약물 치료가 사용되며, 복합 약물요법이 효과적인 방법으로 알려져 있습니다.
이러한 약물 치료는 일정 기간 동안 꾸준한 복용과 정확한 복용이 필요합니다.
5. 결핵 예방법과 생활습관
결핵을 예방하기 위해 효과적인 방법과 생활습관을 가질 필요가 있습니다.
결핵 예방을 위해 다음과 같은 조치를 취할 수 있습니다
결핵 백신 접종
결핵 백신은 결핵 예방에 가장 효과적인 방법 중 하나입니다. 접종 후에는 결핵에 대한 면역력이 강화됩니다.
좋은 위생 관리
손을 깨끗이 씻고, 기침이나 재채기를 할 때는 옷소매나 휴지 등으로 입을 가리는 것이 좋습니다.
공기 환기
실내 공기를 자주 환기하여 결핵균이 머무르지 않도록 합니다.
결핵환자는 영양 상태를 유지하기 위해 적절한 식사와 운동을 해야합니다.
다음은 결핵환자를 위한 식사와 운동에 관한 팁입니다
식사
다양한 비타민과 영양소가 풍부한 식단을 섭취하는 것이 중요합니다.
예를 들어, 채소, 과일, 닭고기, 생선 등을 포함한 균형 잡힌 식단이 좋습니다.
운동
결핵 치료 중에도 적절한 운동은 권장됩니다.
경량 운동이나 걷기와 같은 유산소 운동은 체력을 향상시키고 면역력을 강화하는 데 도움이 됩니다.
이상으로, 결핵으로부터 우리의 건강을 지키는 방법에 대해 알아보았습니다.
정보가 도움이 되었기를 바랍니다. 감사합니다!
함께 보면 좋은 포스팅
'밥 먹고 나서 가슴이 아플 때' 위식도 역류질환 진단과 대처법
안녕하세요. 헬스천사입니다. 오늘은 저희가 자주 경험하게 되는 위식도 역류질환에 대해 이야기해보려고 해요. 밥을 먹고 나서 가슴이 아픈 불쾌한 증상을 겪게 되면, 이는 위식도 역류질환의
health.updokorea.com
A형 간염이란 무엇인가? 증상, 예방 및 치료법을 알아보자
안녕하세요. 헬스천사입니다. 몇 년 전의 아픈 기억이 나네요 가족들과 즐겁게 필리핀 여행을 다녀온 후.... 감기에 걸린듯 몸이 좋지 않았고, 얼굴이 노란색을 띠더니, 급기야 눈까지 노랗게 되
health.updokorea.com
켈로이드 치료 방법: 제거부터 예방까지
안녕하세요. 제가 몇 개월 전에 귀를 뚫었는데요. 그때 관리를 제대로 하지 못해서 그런지 귀가 부어오르고 염증이 생기더라고요. 그래서 병원에 갔더니 “켈로이드”라는 진단을 받았습니다.
health.updokorea.com
조울증 이해하기: 원인, 증상, 그리고 치료법
안녕하세요. 헬스천사입니다. 나는 감정 기복이 심한 것이.... 우울증인지? 아니면 조울증인지? 궁금하다는 질문은 종종 들을 수 있습니다. 대다수 사람들은 우울증이라는 진단에 대해 잘 알고
health.updokorea.com
'건강정보' 카테고리의 다른 글
| 대상포진 증상, 전염성, 원인, 치료방법에 대해 알아보자 (3) | 2023.11.06 |
|---|---|
| 수족구 증상, 전염 및 예방법을 아시나요 (0) | 2023.11.05 |
| 파상풍 초기증상과 원인 및 예방접종 (5) | 2023.11.03 |
| 위식도 역류질환은 어떤 질병일까 진단과 대처법 (3) | 2023.11.02 |
| A형 간염 증상, 예방접종 및 치료법을 알아보자 (2) | 2023.11.01 |
