목차
비타민D는 체내에서 합성되는 영양소이지만, 자외선 노출이 부족한 경우에는 충분히 합성되지 않습니다.
이로 인해 비타민D 결핍 증상이 나타날 수 있으며, 대표적인 증상으로는 구루병이 있습니다.
이번 포스팅에서는 비타민D의 역할과 구루병의 원인과 증상, 예방법에 대해 자세히 알아보겠습니다.

1. 구루병이란?
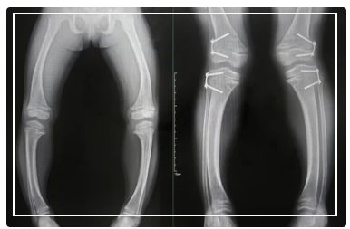
구루병은 비타민D 결핍으로 인해 뼈의 약화, 골격 변형 등이 나타나는 질환입니다.
주로 어린아이들에게 발생하며, 다리가 O자 모양으로 휘거나, 뼈가 약해져 골절 위험이 높아집니다.

2. 예방 방법
비타민D는 피부에서 자외선을 통해 합성됩니다. 하지만 자외선 차단제를 사용하거나, 실내에서 생활하는 경우에는 충분한 양의 비타민D를 합성하기 어렵습니다. 따라서 매일 일정 시간 동안 햇빛을 쬐는 것이 중요합니다.
3. 피부 노화와 비타민D
비타민D는 피부 세포의 성장과 재생을 촉진하는 역할을 합니다. 또한 피부의 면역력을 강화하고, 피부 염증을 예방하는 효과가 있습니다. 하지만 자외선을 과도하게 노출하면 피부 노화가 촉진될 수 있습니다.
4. 햇빛의 중요성
비타민D는 햇빛을 통해 합성됩니다. 하지만 자외선 차단제를 사용하거나, 실내에서 생활하는 경우에는 충분한 양의 비타민D를 합성하기 어렵습니다. 따라서 매일 일정 시간 동안 햇빛을 쬐는 것이 중요합니다.
5. 비타민D 부족하면 생기는 구루병
비타민D가 부족하면 구루병이 발생할 수 있습니다. 구루병은 뼈의 약화, 골격 변형 등이 나타나는 질환입니다. 주로 어린아이들에게 발생하며, 다리가 O자 모양으로 휘거나, 뼈가 약해져 골절 위험이 높아집니다.
6. 자외선의 기능

자외선은 우리 몸에서 다양한 기능을 합니다.
자외선은 피부에서 비타민D를 합성하고, 살균 작용을 합니다.
또한 피부의 면역력을 강화하고, 피부 염증을 예방하는 효과가 있습니다. 하지만 자외선을 과도하게 노출하면 피부 노화가 촉진될 수 있습니다.
비타민D는 체내에서 합성되는 영양소이지만, 자외선 노출이 부족한 경우에는 충분히 합성되지 않습니다. 이로 인해 비타민D 결핍 증상이 나타날 수 있으며, 대표적인 증상으로는 구루병이 있습니다.
따라서 매일 일정 시간 동안 햇빛을 쬐는 것이 중요합니다. 또한 자외선 차단제를 사용하더라도, 적절한 양과 방법으로 사용해야 합니다.
오늘은 비타민D의 역할과 구루병의 원인과 증상, 예방법에 대해 자세히 알아보았습니다.
함께 보면 좋은 포스팅
우울증의 원인, 증상 및 우울증 치료방법에 대하여 자세히 알아보자
현대 사회에서 우울증은 많은 사람들이 겪는 문제 중 하나인데요. 우리 주변에도 우울증을 겪는 사람들이 많답니다. 우울증에 대해 이해하고 대응하는 방법에 대해 알아보겠습니다. 우울증이란
health.updokorea.com
협심증 원인, 증상 그리고 치료법을 알아보자
협심증은 많은 분들이 경험하고 있는 건강 문제 중 하나인데요. 이번 글에서는 협심증의 원인, 증상 그리고 치료법에 대해 알아보겠습니다. 협심증이란? 협심증은 심장의 혈류 공급이 부족하여
health.updokorea.com
생리통의 원인과 증상을 알고 대처방법을 알아보자
안녕하세요. 헬스천사입니다. 오늘은 여성들이 가끔 겪는 생리통에 대해 이야기해보려고 해요. 매달 생리 때마다 느끼는 이 통증은 정말 힘든 일인데요. 왜 생기는 걸까요? 어떻게 대처해야 할
health.updokorea.com
광견병 원인, 증상, 치료법, 예방수칙 더 자세하게 알아보기
오늘은 애완견을 키우시는 분들에게 중요한 정보를 알려드리려고 해요. 바로 광견병에 대한 대처 방안이에요. 광견병에 대한 필수 정보를 알아보도록 하겠습니다. 1. 광견병이란? 광견병의 원인
health.updokorea.com
'건강정보' 카테고리의 다른 글
| 강박 장애란? 강박장애의 증상, 원인 그리고 치료법에 대해 알아보자 (0) | 2023.12.06 |
|---|---|
| 불면증의 증상, 원인 치료방법에 대하여 알아보자 (1) | 2023.12.04 |
| 우울증의 원인, 증상 및 우울증 치료방법에 대하여 자세히 알아보자 (0) | 2023.11.29 |
| 협심증 원인, 증상 그리고 치료법을 알아보자 (0) | 2023.11.28 |
| 생리통의 원인과 증상을 알고 대처방법을 알아보자 (0) | 2023.11.24 |
